Hsv Encephalitis Mri Radiopaedia / Diffusion Weighted Mri For Early Diagnosis Of Neonatal Herpes Simplex Encephalitis Sciencedirect - 25%, 65%) who underwent mri had acute findings.

Hsv Encephalitis Mri Radiopaedia / Diffusion Weighted Mri For Early Diagnosis Of Neonatal Herpes Simplex Encephalitis Sciencedirect - 25%, 65%) who underwent mri had acute findings.. Limbic encephalitis, mca ischaemia, tumours, effects of seizures) hyperintense t2 signal in the medial temporal lobes, inferior frontal lobes and insula basal ganglia are usually spared 25%, 65%) who underwent mri had acute findings. Ventriculitides) refers to inflammation, usually due to infection, of the ependymal lining of the cerebral ventricles. The differential diagnoses include limbic encephalitis (paraneoplastic), gliomatosis cerebri, and status epilepticus. For a general discussion, and for links to other system specific manifestations, please refer to the article on hydatid disease.

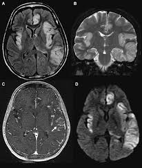
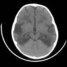
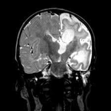
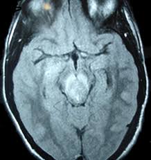
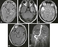
Two subtypes are recognised which differ in demographics, virus, and pattern of involvement. Mri demonstrates extensive edema in the right temporal lobe with areas of intrinsic high t1 signal, in keeping with hemorrhage. Terminology the entity or closely related variants have also been. Coccidioidal meningitis refers to central nervous system involvement of the dimorphic fungus coccidioides spp, mainly coccidioides immitis and coccidioides posadasi. Note the high signal in the caudate heads and putamen on flair.

Differential Diagnosis Of Temporal Lobe Lesions With Hyperintense Signal On T2 Weighted And Flair Sequences Pictorial Essay
Differential Diagnosis Of Temporal Lobe Lesions With Hyperintense Signal On T2 Weighted And Flair Sequences Pictorial Essay from www.scielo.br
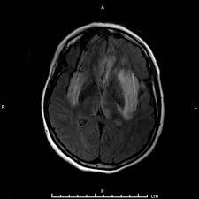
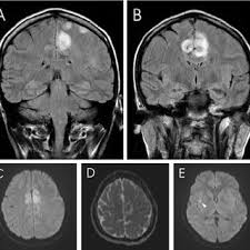
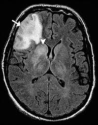
Pcr was repeated on the biopsy specimen and was positive for hsv. Limbic encephalitis, mca ischaemia, tumours, effects of seizures) hyperintense t2 signal in the medial temporal lobes, inferior frontal lobes and insula basal ganglia are usually spared Axial t2 prominent swelling, increase t2 signal involving the left temporal lobe and insular cortex. Multilocularis, and describes a spectrum of disease involving the spinal cord, the spine, or both. Mri is the diagnostic modality of choice abnormal in 90%; A brain biopsy was performed and the histology was consistent with encephalitis. Mri demonstrates extensive edema in the right temporal lobe with areas of intrinsic high t1 signal, in keeping with hemorrhage. For a general discussion, and for links to other system specific manifestations, please refer to the article on hydatid disease.

This patient went on to have hsv encephalitis proven on csf pcr.

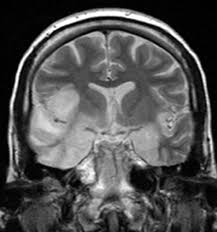
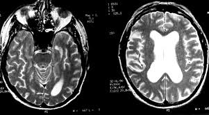
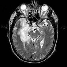
The basal ganglia are usually spared. Mri is the diagnostic modality of choice abnormal in 90%; Hsv encephalitis | radiology case | radiopaedia.org. Axial t2 prominent swelling, increase t2 signal involving the left temporal lobe and insular cortex. For a general discussion, and for links to other system specific manifestations, please refer to the article on hydatid disease. Herpes simplex (hsv) encephalitis is the most common cause of fatal sporadic fulminant necrotizing viral encephalitis and has characteristic imaging findings. Herpes simplex virus (hsv) is a human herpesvirus that causes hsv encephalitis (hse), which is the commonest fatal sporadic encephalitis in humans. Hse may result from primary infection or reactivation from latency, and it frequently involves frontal or temporal lobes, as well as the brain stem. The differential diagnoses include limbic encephalitis (paraneoplastic), gliomatosis cerebri, and status epilepticus. A brain biopsy was performed and the histology was consistent with encephalitis. For a general discussion, and for links to other system specific manifestations, please refer to the article on hydatid disease. Cerebral malaria is a rare intracranial complication of a malarial infection. Bilateral temporal lobe t2 hyperintensity refers to hyperintense signal involving the temporal lobes on t2 weighted and flair imaging.

Two subtypes are recognised which differ in demographics, virus, and pattern of involvement. Terminology cerebritis is essentially the same as encephalitis except that it is used to denote brain par. There is also some cortical ribboning seen on dwi. Hsv encephalitis | radiology case | radiopaedia.org. Herpes simplex encephalitis (hse) is the most common form of viral sporadic encephalitis and, when left untreated, has a mortality rate of 70% (3, 22).

Autoimmune Encephalitis Pathophysiology And Imaging Review Of An Overlooked Diagnosis American Journal Of Neuroradiology
Autoimmune Encephalitis Pathophysiology And Imaging Review Of An Overlooked Diagnosis American Journal Of Neuroradiology from www.ajnr.org
For a general discussion, and for links to other system specific manifestations, please refer to the article on coccidioidomycosis. But changes are not specific for hsv (e.g. Multilocularis, and describes a spectrum of disease involving the spinal cord, the spine, or both. There is also some cortical ribboning seen on dwi. Cerebritis is a term that represents inflammation of the brain in the setting of infection, before the development of a cerebral abscess. Cerebral malaria is a rare intracranial complication of a malarial infection. Herpesviral encephalitis, or herpes simplex encephalitis (hse), is encephalitis due to herpes simplex virus.it is estimated to affect at least 1 in 500,000 individuals per year, and some studies suggest an incidence rate of 5.9 cases per 100,000 live births. Herpes simplex (hsv) encephalitis is the most common cause of fatal sporadic fulminant necrotising viral encephalitis and has characteristic imaging findings.

Herpes simplex (hsv) encephalitis is the most common cause of fatal sporadic fulminant necrotising viral encephalitis and has characteristic imaging findings.

The differential diagnoses include limbic encephalitis (paraneoplastic), gliomatosis cerebri, and status epilepticus. Ventriculitides) refers to inflammation, usually due to infection, of the ependymal lining of the cerebral ventricles. For a general discussion, and for links to other system specific manifestations, please refer to the article on coccidioidomycosis. Herpes simplex (hsv) encephalitis is the most common cause of fatal sporadic fulminant necrotising viral encephalitis and has characteristic imaging findings. Bilateral temporal lobe t2 hyperintensity refers to hyperintense signal involving the temporal lobes on t2 weighted and flair imaging. For a general discussion, and for links to other system specific manifestations, please refer to the article on hydatid disease. Given the history of fever and seizures coupled with the mri findings of bilateral mesial temporal lobe changes, herpes encephalitis requires clinical consideration. It is most often due to meningitis. Multilocularis.the larval stage is the cause of hydatid disease in humans 1. Spinal hydatid disease is an uncommon manifestation of hydatid disease, caused by the larval stage of echinococcus granulosus, or less commonly e. Terminology cerebritis is essentially the same as encephalitis except that it is used to denote brain par. It is a common finding on brain mri and a wide range of differentials should be considered 1. It is usually bilateral but asymmetrical.

Bilateral temporal lobe t2 hyperintensity refers to hyperintense signal involving the temporal lobes on t2 weighted and flair imaging. Multilocularis, and describes a spectrum of disease involving the spinal cord, the spine, or both. It is estimated to occur in ~2% of pati. Hse may result from primary infection or reactivation from latency, and it frequently involves frontal or temporal lobes, as well as the brain stem. This patient went on to have hsv encephalitis proven on csf pcr.

Autoimmune Encephalitis Pathophysiology And Imaging Review Of An Overlooked Diagnosis American Journal Of Neuroradiology
Autoimmune Encephalitis Pathophysiology And Imaging Review Of An Overlooked Diagnosis American Journal Of Neuroradiology from www.ajnr.org
The basal ganglia are usually spared. The differential diagnoses include limbic encephalitis (paraneoplastic), gliomatosis cerebri, and status epilepticus. Limbic encephalitis, mca ischaemia, tumours, effects of seizures) hyperintense t2 signal in the medial temporal lobes, inferior frontal lobes and insula basal ganglia are usually spared Hypertrophic pachymeningitis is a condition where there is localized inflammatory thickening of the dura. This patient went on to have hsv encephalitis proven on csf pcr. Twelve of 27 patients (44%, 95% ci: For a general discussion, and for links to other system specific manifestations, please refer to the article on coccidioidomycosis. Multilocularis, and describes a spectrum of disease involving the spinal cord, the spine, or both.

For a general discussion, and for links to other system specific manifestations, please refer to the article on hydatid disease.

The changes spare the basal ganglia, a feature which is helpful in distinguishing an mca infarct with hemorrhagic transformation from herpes simplex encephalitis, the diagnosis in this case. Hse may result from primary infection or reactivation from latency, and it frequently involves frontal or temporal lobes, as well as the brain stem. Herpes simplex (hsv) encephalitis is the most common cause of fatal sporadic fulminant necrotizing viral encephalitis and has characteristic imaging findings. It is usually bilateral but asymmetrical. The differential diagnoses include limbic encephalitis (paraneoplastic), gliomatosis cerebri, and status epilepticus. Two subtypes are recognized which differ in demographics, virus, and pattern of involvement. Given the history of fever and seizures coupled with the mri findings of bilateral mesial temporal lobe changes, herpes encephalitis requires clinical consideration. Spinal hydatid disease is an uncommon manifestation of hydatid disease, caused by the larval stage of echinococcus granulosus, or less commonly e. Multilocularis.the larval stage is the cause of hydatid disease in humans 1. The differential diagnoses include limbic encephalitis (paraneoplastic), gliomatosis cerebri, and status epilepticus. Herpes simplex encephalitis (hse) is the most common form of viral sporadic encephalitis and, when left untreated, has a mortality rate of 70% (3, 22). This patient went on to have hsv encephalitis proven on csf pcr. Bilateral temporal lobe t2 hyperintensity refers to hyperintense signal involving the temporal lobes on t2 weighted and flair imaging.

It is most often due to meningitis hsv encephalitis mri. The differential diagnoses include limbic encephalitis (paraneoplastic), gliomatosis cerebri, and status epilepticus.

Comments