Herpes Hsv 2 Pictures - Genital Herpes Can Be Blamed On This Primate Symptoms Of Genital Herpes In Men And Women India Com / Herpes simplex virus infections are caused by either herpes simplex virus type 1 or 2.

Herpes Hsv 2 Pictures - Genital Herpes Can Be Blamed On This Primate Symptoms Of Genital Herpes In Men And Women India Com / Herpes simplex virus infections are caused by either herpes simplex virus type 1 or 2.. Herpes infections can be latent or active. You've started seeing a new partner and you two feel ready to have sex. Sometimes, too, sores appear on the tongue or face. Hsv2, however, unlike hsv1, rarely causes other complications or spreads to different areas of the body outside of its original vicinity. We spoke with doctors to find out the common misconceptions regarding testing for hsv.

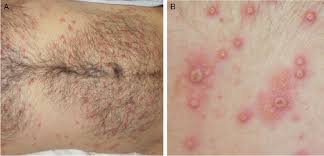
You may feel itchy or tingly around your genitals. The following images can help with identifying forms of herpes This is a main thing which everyone should know in order to take precautions and prevention from this disease. Understanding the two different types of the herpes simplex virus (hsv) is an important part of understanding herpes and its role in our society. This gallery shows various herpes pictures, and also a couple of images of conditions that may mimic a herpes infection like chickenpox or canker sores.

Genital Herpes Diagnostic And Management Considerations In Pregnant Women Mdedge Obgyn
Genital Herpes Diagnostic And Management Considerations In Pregnant Women Mdedge Obgyn from cdn.mdedge.com
You may feel itchy or tingly around your genitals. Many tests for herpes without any symptoms being present are unreliable. Herpes infections are very common. The following images can help with identifying forms of herpes Hunter handsfield, md, a spokesperson for the american sexual health association and professor emeritus. July 19, 2016july 22, 2016 admin herpes type 1 includes the areas other than private parts. Herpes viruses include several families of omnipresent infectious agents, a euphemism for ….these babies just won't go away! from hsv 1 to herpes zoster (shingles) these nasties can range from very annoying to a downright nightmare. Under most circumstances, it is.

Infection with herpes simplex virus (hsv) is one of the most common infections in the world—and one of the most confusing.

It is characterized by recurrent clusters of lesions in. Herpes is more common than many might think, and a lot of people are unaware they are infected and may not even have symptoms to tip them off. Hunter handsfield, md, a spokesperson for the american sexual health association and professor emeritus. Ayurveda, the system of indian medicine, may provide an alternative approach for both the forms of. July 19, 2016july 22, 2016 admin herpes type 1 includes the areas other than private parts. Understanding the two different types of the herpes simplex virus (hsv) is an important part of understanding herpes and its role in our society. Herpes | the most comprehensive educational site. Herpes viruses include several families of omnipresent infectious agents, a euphemism for ….these babies just won't go away! from hsv 1 to herpes zoster (shingles) these nasties can range from very annoying to a downright nightmare. Herpes infections can be latent or active. Herpes infections are very common. Infection with herpes simplex virus (hsv) is one of the most common infections in the world—and one of the most confusing. Oral herpes infection may involve sores around and throughout the mouth. Read about oral herpes symptoms, outbreak stages, signs, treatment, transmission, and prevention.

Diagnostic workup for hsv infections. Read about oral herpes symptoms, outbreak stages, signs, treatment, transmission, and prevention. Viral shedding or asymptomatic infection. Many tests for herpes without any symptoms being present are unreliable. Herpes simplex virus infections are caused by either herpes simplex virus type 1 or 2.

Prompt Treatment Of Disseminated Hsv 2 Infection In A Patient With Compromised Cellular Immunity A Case Of Aborted Hemophagocytic Lymphohistiocytosis Tsimpidakis 2020 Clinical Case Reports Wiley Online Library
Prompt Treatment Of Disseminated Hsv 2 Infection In A Patient With Compromised Cellular Immunity A Case Of Aborted Hemophagocytic Lymphohistiocytosis Tsimpidakis 2020 Clinical Case Reports Wiley Online Library from onlinelibrary.wiley.com
More information on the types of herpes is below. It is characterized by recurrent clusters of lesions in. You may feel itchy or tingly around your genitals. If a person has an hsv infection, they will pictures. Read about oral herpes symptoms, outbreak stages, signs, treatment, transmission, and prevention. Ayurveda, the system of indian medicine, may provide an alternative approach for both the forms of. Diagnostic workup for hsv infections. Under most circumstances, it is.

July 19, 2016july 22, 2016 admin herpes type 1 includes the areas other than private parts.

Ayurveda, the system of indian medicine, may provide an alternative approach for both the forms of. Herpes infections are very common. Pictures of herpes reveal a range of symptoms. It is characterized by recurrent clusters of lesions in. This is a main thing which everyone should know in order to take precautions and prevention from this disease. Infection with herpes simplex virus (hsv) is one of the most common infections in the world—and one of the most confusing. If a person has an hsv infection, they will pictures. Hsv2, however, unlike hsv1, rarely causes other complications or spreads to different areas of the body outside of its original vicinity. This gallery shows various herpes pictures, and also a couple of images of conditions that may mimic a herpes infection like chickenpox or canker sores. Many tests for herpes without any symptoms being present are unreliable. Sometimes, too, sores appear on the tongue or face. You've started seeing a new partner and you two feel ready to have sex. Viral shedding or asymptomatic infection.

This gallery shows various herpes pictures, and also a couple of images of conditions that may mimic a herpes infection like chickenpox or canker sores. Understanding the two different types of the herpes simplex virus (hsv) is an important part of understanding herpes and its role in our society. This is a main thing which everyone should know in order to take precautions and prevention from this disease. Herpes | the most comprehensive educational site. July 19, 2016july 22, 2016 admin herpes type 1 includes the areas other than private parts.

Herpes Symptoms In Women What To Expect With Pictures
Herpes Symptoms In Women What To Expect With Pictures from post.healthline.com
Under most circumstances, it is. Pictures of herpes reveal a range of symptoms. This gallery shows various herpes pictures, and also a couple of images of conditions that may mimic a herpes infection like chickenpox or canker sores. You may feel itchy or tingly around your genitals. More information on the types of herpes is below. Herpes is more common than many might think, and a lot of people are unaware they are infected and may not even have symptoms to tip them off. You've started seeing a new partner and you two feel ready to have sex. We spoke with doctors to find out the common misconceptions regarding testing for hsv.

Hsv2, however, unlike hsv1, rarely causes other complications or spreads to different areas of the body outside of its original vicinity.

Herpes viruses include several families of omnipresent infectious agents, a euphemism for ….these babies just won't go away! from hsv 1 to herpes zoster (shingles) these nasties can range from very annoying to a downright nightmare. Read about oral herpes symptoms, outbreak stages, signs, treatment, transmission, and prevention. Understanding the two different types of the herpes simplex virus (hsv) is an important part of understanding herpes and its role in our society. This gallery shows various herpes pictures, and also a couple of images of conditions that may mimic a herpes infection like chickenpox or canker sores. Hsv2, however, unlike hsv1, rarely causes other complications or spreads to different areas of the body outside of its original vicinity. Herpes | the most comprehensive educational site. Sometimes, too, sores appear on the tongue or face. Pictures of herpes reveal a range of symptoms. Herpes simplex virus infections are caused by either herpes simplex virus type 1 or 2. Oral herpes infection may involve sores around and throughout the mouth. Diagnostic workup for hsv infections. You've started seeing a new partner and you two feel ready to have sex. Viral shedding or asymptomatic infection.

Herpes simplex virus infections are caused by either herpes simplex virus type 1 or 2 hsv 2 pictures. Oral herpes infection may involve sores around and throughout the mouth.

Comments